Yesterday I wore a black maternity dress to church that I remember wearing right before I had Mick. I made Jeff take a picture so I could compare how big the belly was. The picture on the left is when I was 38.5 weeks pregnant with Mick. He was born 8 days after the picture was taken. The picture on the right was yesterday when I hit the 30-week mark. I think they're about the same? I'm definitely not wearing that dress to church anymore...it's a little on the short side. Look how tan I am...LOVE it!
Monday, July 18, 2011
Comparison
Thursday, July 14, 2011
We're Growing
The twins and I are growing bigger and bigger. This is our little girl. She weighs approximately 3 pounds and is growing right on track with the due date of Sept. 25th. She is on the bottom, sideways, with her head to my left.
This is our little boy. He weighs about 3 pounds and 9 ounces. He measures two weeks earlier than our girl. He is also laying sideways with his head on my left.
She needs to turn head down in the next couple of weeks so I don't have to undergo a C-section. They both seem to be doing very well and are are VERY active.
The ultrasound technician said his eyes are open in this picture. 
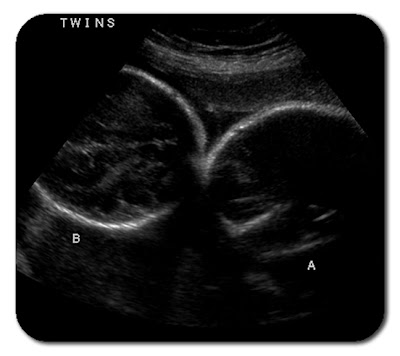
This is a picture of both of their heads together. You'd think they'd have more room if one was turned the other way, but oh well.
I'm feeling very pregnant, very pregnant indeed. Only ten more weeks to go!
Friday, July 1, 2011
Swimming
The last couple of days have been VERY HOT! We're talking mid-nineties with ridiculous humidity. Today we went to the pool and spent a couple of hours getting wet (mostly Sam). Mick didn't get wet above the shoulders. I was embarrassed in my maternity swimsuit until I realized that out of the 5 or 6 really pregnant women at the pool, I was the only one with a covered belly. It made me feel better that even if I looked like a beached whale my stretch marks would remain unseen. Bottom picture is at 28 weeks (only!).


